——患者病例——
年龄:38岁
症状描述:牙齿发生龋病,拔出残根,导致单颗牙齿缺失
治疗方案:种植修复
案例详情: 患者从小就爱吃甜食,致使牙齿发生龋齿,后来因为难以忍受蛀牙的疼痛,直接将蛀牙残根拔出。现在牙齿缺失,使患者的笑容显得十分的尴尬。经朋友的介绍,来到了温州蓝芽口腔所做人工种植牙齿。检查之后,主治医师和患者商量之后选定种植牙进行牙齿修复。

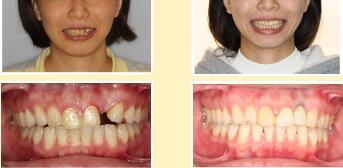
种植修复单颗牙齿缺失前后对比图
如今2个月过去了,种植牙已经牢牢长在患者的口腔里,连朋友难相信原来缺失的那颗牙齿好像是重新长出的。她很感谢曾经给她做人工种植牙齿手术的医师,现在的她对生活充满了感恩和信心。
点评: 人工种植牙是生物材料制成的一种仿生牙,分为植入人体颌骨起支持固位作用的种植体(牙根部分)和承担咀嚼作用的牙冠两部分。人工种植牙齿解决了众多爱美者的饮食和生活困扰。患者就是通过人工种植牙齿改善的。数字化种植牙系统操作过程简单,局部麻醉创伤小,术后即可进食;牙齿整体协调,口感舒适,舒适美观;牙齿坚固稳定,持久耐用,咀嚼功能强大,使用年限高达数十年,被口腔医学界为缺牙的较好的修复方式。