在生活中,我们常常会碰到牙齿缺损的问题,而造成牙齿缺损有很多不同的原因,比如龋齿造成的牙齿缺损、意外导致的牙齿缺损,这些情况下都是需要及时修复的,那么具体这些不同程度的牙齿缺损分别要怎么修复才好呢?今天我们以温州蓝芽为例详细看看。
牙齿缺损修复前后对比图
如果是龋齿造成的牙齿缺损:
对于龋齿造成的牙齿缺损,患者可以采取补牙的方式就行修复,把牙洞牙齿龋坏的部位填充以后就能恢复牙体的完整性以及牙齿的健康。德伦口腔所引进的纳米树脂补牙采用的是当代科技生产的补牙材料,其填料的颗粒度达到纳米级。树脂补牙材料具有色泽好、更耐磨、更美观等优点,是您补牙时的不二选择!

纳米树脂补牙前后效果对比图
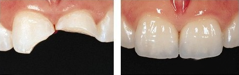
如果是意外或者严重缺损:
对于意外造成的牙齿断裂或者其他类型的牙齿缺损,患者可以采用全瓷牙进行修复。德伦口腔的全瓷牙是覆盖全部牙冠表面,且不含金属内冠的瓷修复体。因为采用的是跟牙齿颜色十分相近的瓷材料制作而成,所以从外观上看十分自然美观,且不会对牙齿周边的组织造成任何刺激。

全瓷牙冠
温州蓝芽推荐修复技术:
运用美学理念,对牙齿色泽、质感、宽度比例、微笑曲线进行准确分析与设计,并通过3D打印技术制作出牙齿的全瓷修复体、全冠、贴面,让患者短时间内就可以拥有完美的笑容。
